Skip to main content

Novel dimeric dual-modality FAP-targeted agents with favorable tumor retention for image-guided surgery: a preclinical study

GARIGLIO, G., T. HASENOHRL, K. DVOŘÁKOVÁ BENDOVÁ, Z. NOVÝ, C. RANGGER, K. KUMMER, B. SMITH, B. MATUSZCZAK, M. PETŘÍK, C. DECRISTOFORO
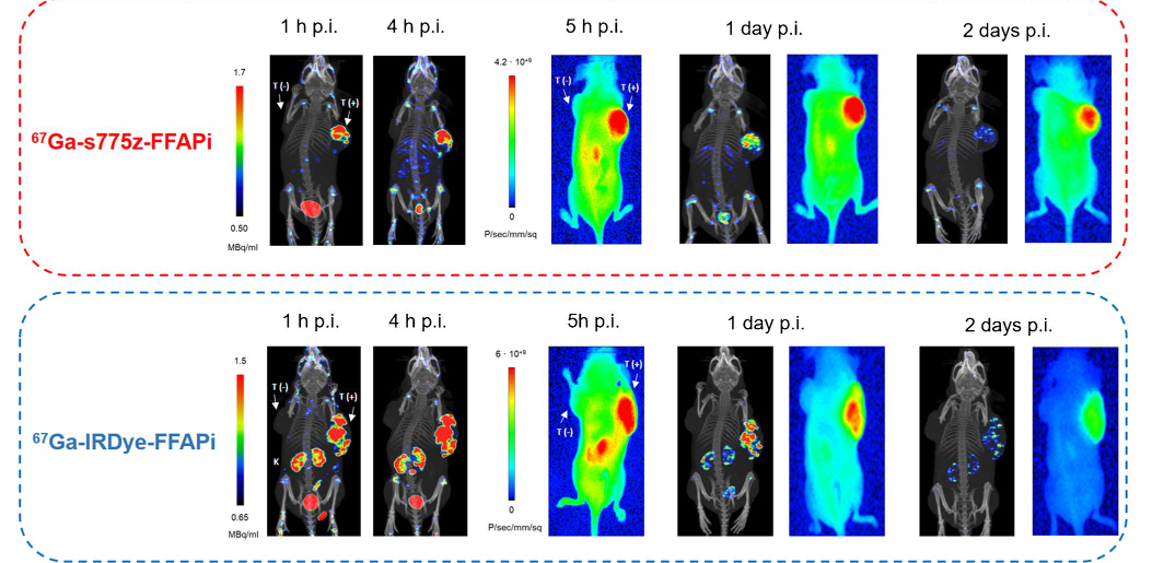
Novel dimeric dual-modality FAP-targeted agents with favorable tumor retention for image-guided surgery: a preclinical study. European journal of nuclear medicine and molecular imaging. 2026, 53(4), 2578-2591, ISSN: 1619-7070, PMID: 41258458,  PDF.